Новостной портал "Город Киров"
29 апреля, Киров 0,6°
Курс ЦБ 74,69 87,59

Мы используем cookie.  Оставаясь на сайте, вы соглашаетесь с тем, что мы обрабатываем ваши персональные данные с использованием метрик Яндекс Метрика,top.mail.ru, LiveInternet.

Новости 16+

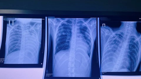
В России хотят запретить вейпы после двух резонансных случаев с кировскими подростками

В последние дни в России разгорелись бурные дискуссии по поводу безопасности использования электронных сигарет, известных как вейпы. Резонанс вызвали недавние инциденты в Кирове, где двое школьников оказались на больничных койках после использования этих популярных устройств.На фоне этих тревожных событий в стране усилились призывы к запрету вейпов, как одного из потенциально опасных для здоровья подростков факторов.

В России хотят запретить вейпы после двух резонансных случаев с кировскими подростками
Источник фото: Фото: Минздрав Кировской области

В частности, один из самых громких призывов раздался от председателя партии «Коммунисты России» Сергея Малинковича, который выступил с требованием «немедленно запретить» вейпы на законодательном уровне. На взгляд политика, каждый подобный случай, когда несовершеннолетние оказываются в больницах из-за использования вейпов, свидетельствует о моральном упадке общества и требует принятия неотложных мер.

Малинкович подчеркнул, что проблема является не только медицинской, но и социальной, указывая на необходимость всестороннего подхода к её решению. Он отметил, что подобные инциденты – это своего рода тревожный сигнал, который показывает, что общество должно уделять больше внимания здоровью и безопасности своих детей.

Ситуация в Кирове действительно вызывает обеспокоенность: в больнице оказались 16-летний юноша и 14-летняя девушка, которые, по предварительной инфомации, пострадали от курения вейпов. Известно, что состояние юноши оценивается как тяжёлое, и врачи делают всё возможное, чтобы спасти его жизнь.

Напомним, у 16-летней кировчанки нашли двустороннюю бронхопневмонию из-за курения вейпов.

Новости партнеров